Table of Contents
« prev
next »
Washington University Experience
|
NEOPLASMS (HEMATOLYMPHOID)
|
Granulocytic Sarcoma
|
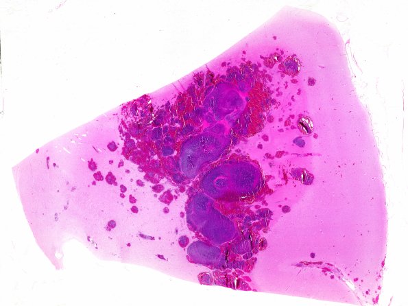
1B1 (Case 1) E WM
A whole mount of the temporal lobe lesion shows multiple basophilic elements with delicate rims of hemorrhage. (H&E)
Image Info
Camera Maker:
Nikon
Camera Model:
LS-50
Gallery RSS
|
Archive View
|
Login
|
Powered by
Zenphoto