Table of Contents
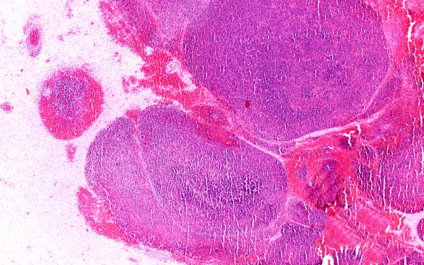
Washington University Experience | NEOPLASMS (HEMATOLYMPHOID) | Granulocytic Sarcoma | 1B2 Case 1 E 4X
1B2-4 Progressively increasing magnification of the constituent elements of leukemic nodules showing aggregates of myeloblasts, many with granular cytoplasm. (H&E)
