Table of Contents
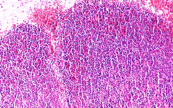
Washington University Experience | NEOPLASMS (HEMATOLYMPHOID) | Granulocytic Sarcoma | 1B3 (Case 1) E 20X
Progressively increasing magnification of the constituent elements of leukemic nodules showing aggregates of myeloblasts, many with granular cytoplasm. (H&E)
