Table of Contents
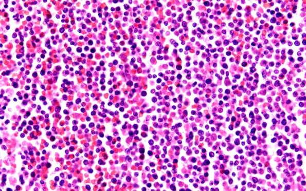
Washington University Experience | NEOPLASMS (HEMATOLYMPHOID) | Granulocytic Sarcoma | 1B4 (Case 1) E 60X
Progressively increasing magnification of the constituent elements of leukemic nodules showing aggregates of myeloblasts, many with granular cytoplasm. (H&E)
