Table of Contents
« prev
next »
Washington University Experience
|
NEOPLASMS (HEMATOLYMPHOID)
|
Granulocytic Sarcoma
|
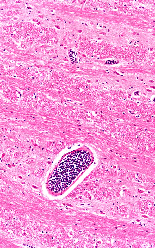
1C3B (Case 1) A 20X 2A
In the pons the leukemic nodules are accompanied by multiple small blood vessels demonstrating leukostasis. (H&E)
Image Info
Camera Maker:
Olympus
Camera Model:
DP74
Shutter Speed:
13/10000 sec
Metering Mode:
Multi-Spot
Gallery RSS
|
Archive View
|
Login
|
Powered by
Zenphoto