Table of Contents
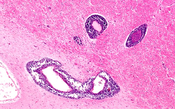
Washington University Experience | NEOPLASMS (HEMATOLYMPHOID) | Granulocytic Sarcoma | 1C5 (Case 1) D 10X 1
In these lesions leukemic cells involve the Virchow-Robin spaces, presumably an early stage in the formation of leukemic nodules. Angionecrosis is not routinely involved in the center of leukemic nodules. (H&E)
