Table of Contents
Washington University Experience | NEOPLASMS (HEMATOLYMPHOID) | Granulocytic Sarcoma | 2B1 Leukemia (Case 2) N1 WM
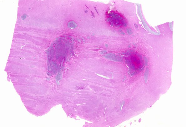
The hemorrhages within the pons show major participation of the cellular collections of blasts. No other leukemic nodules were found in the cerebral hemispheres. (H&E)
