Table of Contents
« prev
next »
Washington University Experience
|
NEOPLASMS (HEMATOLYMPHOID)
|
Granulocytic Sarcoma
|
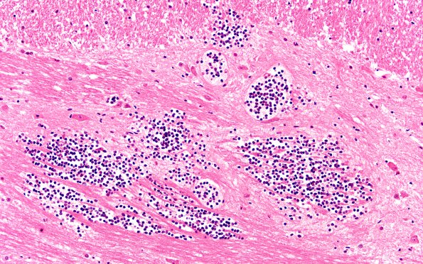
2B3 Hemorrhage (Case 2) 20X
2B3-6 The leukemic nodules consist of solid aggregates of immature neoplastic granulocytes. (H&E)
Image Info
Camera Maker:
Olympus
Camera Model:
DP74
Shutter Speed:
7/5000 sec
Metering Mode:
Multi-Spot
Gallery RSS
|
Archive View
|
Login
|
Powered by
Zenphoto