Table of Contents
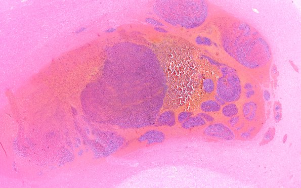
Washington University Experience | NEOPLASMS (HEMATOLYMPHOID) | Granulocytic Sarcoma | 3B2 Leukemic Nodules (Case 3) 2X 1
3B2-5 Higher magnification images of the nodule of image #3B1 demonstrating its myeloblastic center. Surrounding neural tissue showed acute white matter edema with ameboid glia and some karyorrhexis adjacent to the nodules (H&E)
