Table of Contents
Washington University Experience | NEOPLASMS (HEMATOLYMPHOID) | Granulocytic Sarcoma | 3B7 Leukemic Nodules (Case 3) D 40X
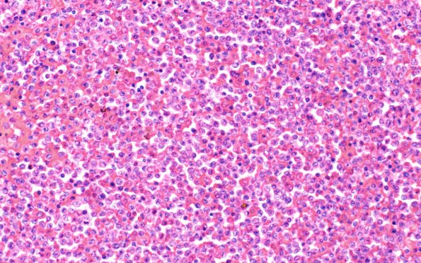
Small hemorrhagic nodules at the periphery of the large frontoparietal hemorrhagic lesion and occasional hemorrhagic nodules in the frontal and occipital cortices were composed of aggregates of myeloblasts, with numerous mitoses, occasional vascular centers and a rim of hemorrhage.
