Table of Contents
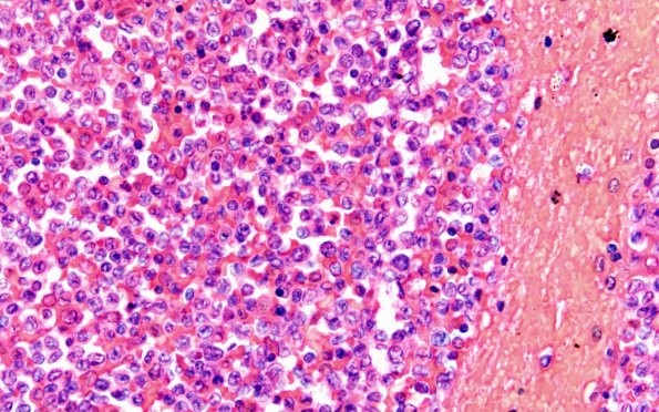
Washington University Experience | NEOPLASMS (HEMATOLYMPHOID) | Granulocytic Sarcoma | 3B8 Leukemic Nodules (Case 3) D 60X
Small hemorrhagic nodules at the periphery of the large frontoparietal hemorrhagic lesion and occasional hemorrhagic nodules in the frontal and occipital cortices were composed of aggregates of myeloblasts, with numerous mitoses, occasional vascular centers and a rim of hemorrhage.
