Table of Contents
« prev
next »
Washington University Experience
|
NEOPLASMS (HEMATOLYMPHOID)
|
Granulocytic Sarcoma
|
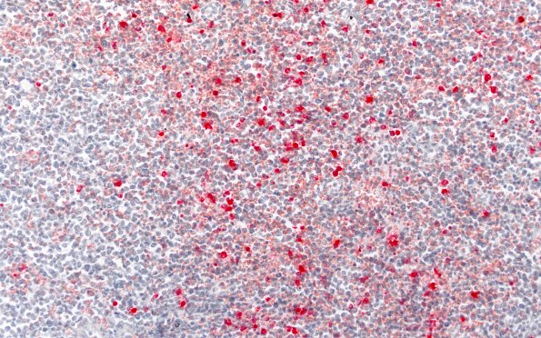
3C1 Leukemic Nodules (Case 3) Leder 20X
3C1,2 Many leukemic nodules contain a subpopulation of Leder positive myeloblasts, (Leder stain)
Image Info
Camera Maker:
Olympus
Camera Model:
DP74
Shutter Speed:
7/5000 sec
Metering Mode:
Multi-Spot
Gallery RSS
|
Archive View
|
Login
|
Powered by
Zenphoto