Table of Contents
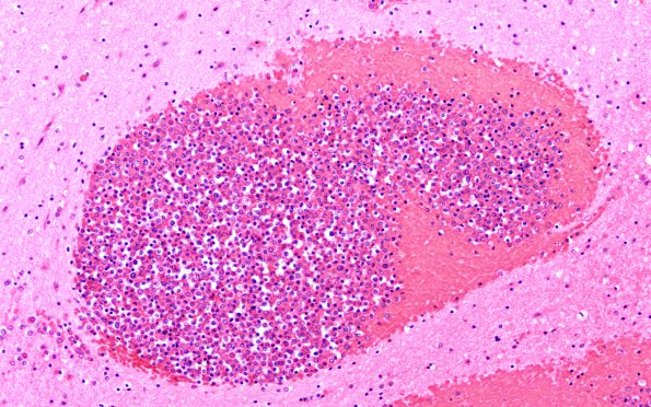
Washington University Experience | NEOPLASMS (HEMATOLYMPHOID) | Granulocytic Sarcoma | 4B1B Case 4E 20X
Multiple hemorrhages appreciated grossly in cerebral cortex and brainstem prove on microscopic examination to consist of a rim of fresh hemorrhage surrounding a pure collection of white cells most of which appear to be myeloblasts. These lesions have a predilection for the area of the grey-white junction. There is no reaction to these aggregates of leukemic cells by the surrounding neural elements. (Dilated vessels containing sheets of leukemic cells are easily found; additionally, some of the nodules of myeloblasts contain remnants of a vascular wall. There are subarachnoid collections of leukemic cells over cerebral cortex and cerebellum. (H&E)
