Table of Contents
Washington University Experience | NEOPLASMS (HEMATOLYMPHOID) | Granulocytic Sarcoma | 4B3B Case 4D 20X
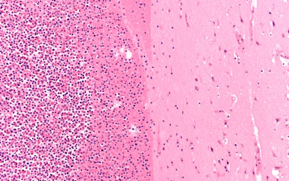
These lesions have a predilection for the area of the grey-white junction. There is no reaction to these aggregates of leukemic cells by the surrounding neural elements.
