Table of Contents
« prev
next »
Washington University Experience
|
NEOPLASMS (HEMATOLYMPHOID)
|
Langerhans Cell Histiocytosis (LCH)
|
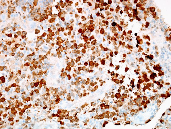
19E1 LCH (Case 19) S100 1.jpg
S100 immunoreactivity stains Langerhans cells but does not typically stain reactive cells.
Image Info
Camera Maker:
Olympus Corporation
Camera Model:
DP70
Original Time Taken:
18-11-2015
Shutter Speed:
1/173 sec
ISO Sensitivity:
200
Metering Mode:
Spot
Gallery RSS
|
Archive View
|
Login
|
Powered by
Zenphoto