Table of Contents
Washington University Experience | NEOPLASMS (HEMATOLYMPHOID) | Langerhans Cell Histiocytosis (LCH) | 24A1 LCH (Case 24) T2 noC - Copy copy
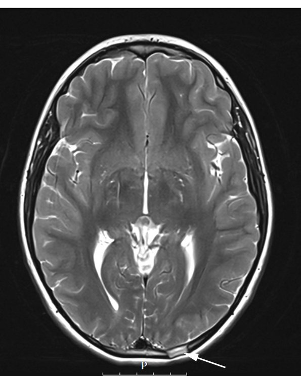
Case 24 History (Thanks S Dahiya) ---- The patient is a 13-year-old boy with a traumatic skull injury 11 years previously. About 2 months prior to his current admission, he noted a bump on his scalp which has been somewhat painful to touch. On imaging, he was found to have a T2 hyperintense left parietal calvarial lesion. Operative procedure: Left occipital skull mass resection. ---- 24A1,2 These T2-weighted scans demonstrate a focus of hyperintensity in the left parietal calvarial region (arrow, 24A1, no contrast) and a T2 dark fluid (24A2) scan without contrast.
