Table of Contents
« prev
next »
Washington University Experience
|
NEOPLASMS (HEMATOLYMPHOID)
|
Langerhans Cell Histiocytosis (LCH)
|
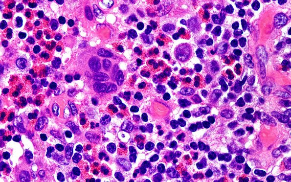
24B12 LCH (Case 24) H&E 100X 3
Multinucleate histiocytic cells are also present. (H&E)
Image Info
Camera Maker:
Olympus
Camera Model:
DP74
Shutter Speed:
11/267 sec
Metering Mode:
Multi-Spot
Gallery RSS
|
Archive View
|
Login
|
Powered by
Zenphoto