Table of Contents
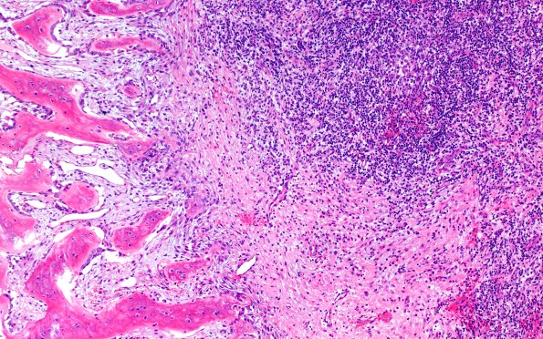
Washington University Experience | NEOPLASMS (HEMATOLYMPHOID) | Langerhans Cell Histiocytosis (LCH) | 24B2 LCH (Case 24) H&E 10X 3
H&E-stained sections show fragments of bone and soft tissue involved by a mixed chronic inflammatory cell infiltrate. (H&E)
