Table of Contents
Washington University Experience | NEOPLASMS (HEMATOLYMPHOID) | Langerhans Cell Histiocytosis (LCH) | 24B3 LCH (Case 24 H&E 10X 1B
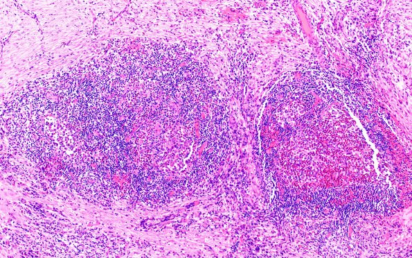
24B3-7 The infiltrate includes scattered lymphoid aggregates, numerous eosinophils forming clusters and microabscesses, and aggregates of histiocytic cells with prominent nuclear grooves and nucleoli in a subset. (H&E)
