Table of Contents
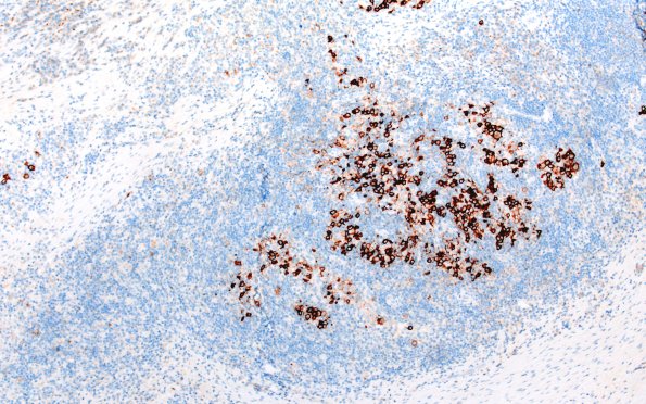
Washington University Experience | NEOPLASMS (HEMATOLYMPHOID) | Langerhans Cell Histiocytosis (LCH) | 24C1 LCH (Case 24) CD1a 10X 2
24C1-3 The distinctive immunoreactivity in LCH is shown by elements strongly staining for CD1a (CD1a IHC)
