Table of Contents
« prev
next »
Washington University Experience
|
NEOPLASMS (HEMATOLYMPHOID)
|
Langerhans Cell Histiocytosis (LCH)
|
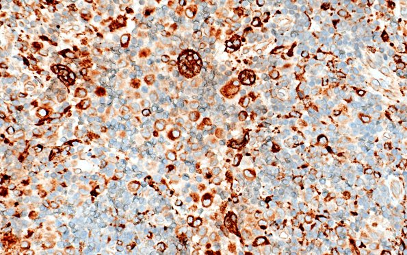
24D3 LCH (Case 24) CD68 40X 1
Notice the labeling of multinucleate giant cells. (CD68 IHC)
Image Info
Camera Maker:
Olympus
Camera Model:
DP74
Shutter Speed:
30/7109 sec
Metering Mode:
Multi-Spot
Gallery RSS
|
Archive View
|
Login
|
Powered by
Zenphoto