Table of Contents
« prev
next »
Washington University Experience
|
NEOPLASMS (HEMATOLYMPHOID)
|
Langerhans Cell Histiocytosis (LCH)
|
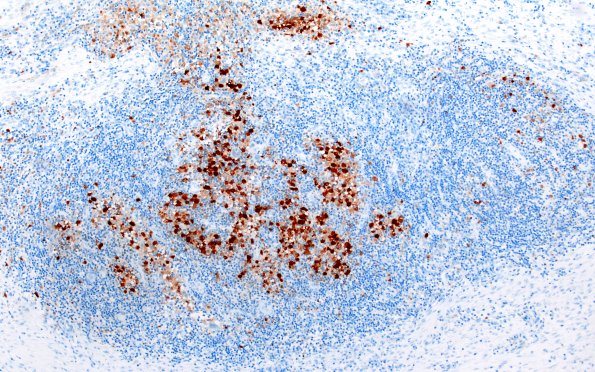
24E1 LCH (Case 24 S100 10X 1
24 E1-4 Many of the cellular elements also stain for S100 (S100 IHC)
Image Info
Camera Maker:
Olympus
Camera Model:
DP74
Shutter Speed:
41/100000 sec
Metering Mode:
Multi-Spot
Gallery RSS
|
Archive View
|
Login
|
Powered by
Zenphoto