Table of Contents
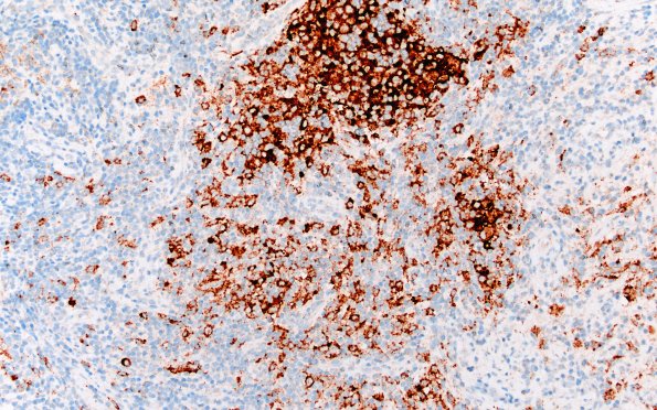
Washington University Experience | NEOPLASMS (HEMATOLYMPHOID) | Langerhans Cell Histiocytosis (LCH) | 24F1 LCH (Case 24) BRAF 20X 2
24F1-3 The immunohistochemical profile also includes immunoreactivity for mutant BRAF (BRAF V600E IHC).
