Table of Contents
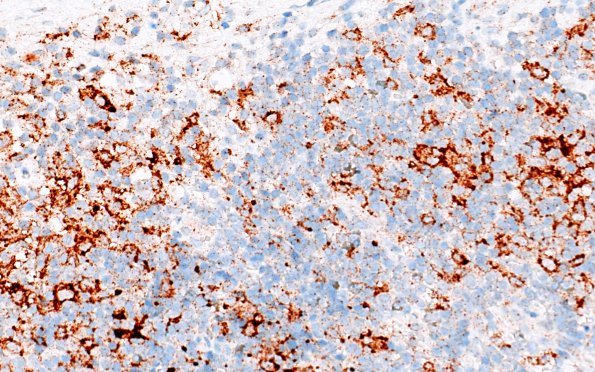
Washington University Experience | NEOPLASMS (HEMATOLYMPHOID) | Langerhans Cell Histiocytosis (LCH) | 24F3 LCH (Case 24) BRAF 40X 2
The immunohistochemical profile also includes immunoreactivity for mutant BRAF (BRAF V600E IHC). The collective findings are consistent with Langerhans cell histiocytosis.
