Table of Contents
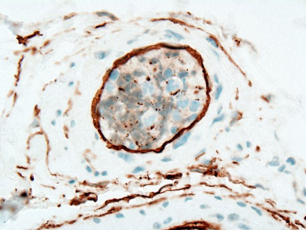
Washington University Experience | NEOPLASMS (HEMATOLYMPHOID) | Lymphoma, Intravascular | 15B1 Lymphoma, IV Muscle (Case 15) CD34 1 (2)
15B1,2 Identifying vessel walls immunohistochemically establishes the localization of malignant cells to the lumen (CD34 IHC)
