Table of Contents
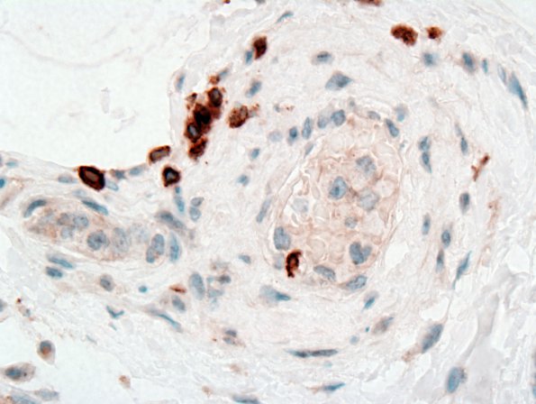
Washington University Experience | NEOPLASMS (HEMATOLYMPHOID) | Lymphoma, Intravascular | 15D Lymphoma, IV Muscle (Case 15) CD3 2
Extravascular reactive T cells are clearly separated from intraluminal malignant B cells (CD3 IHC)
