Table of Contents
Washington University Experience | NEOPLASMS (HEMATOLYMPHOID) | Lymphoma, Intravascular | 18A1 Lymphoma, intravascular FLAIR - Copy
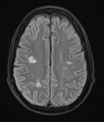
18A1,2 There are numerous hyperintense white matter lesions visible on this FLAIR (18A1) and T2-weighted without contrast (18A2) scans.
