Table of Contents
Washington University Experience | NEOPLASMS (HEMATOLYMPHOID) | Lymphoma, Intravascular | 18A2 Lymphoma, intravascular T2 noC - Copy
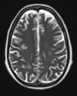
There are numerous hyperintense white matter lesions visible on this T2-weighted without contrast scan.
