Table of Contents
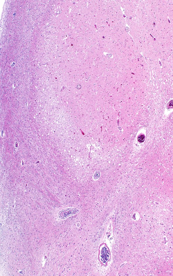
Washington University Experience | NEOPLASMS (HEMATOLYMPHOID) | Lymphoma, Intravascular | 18C2 Lymphoma, intravascular N4 (Case 18) 4X
The thalamic lesion is ischemic and characterized by edema, eosinophilic neuronal necrosis, parenchymal necrosis and numerous microvessels engorged with malignant cells. (H&E)
