Table of Contents
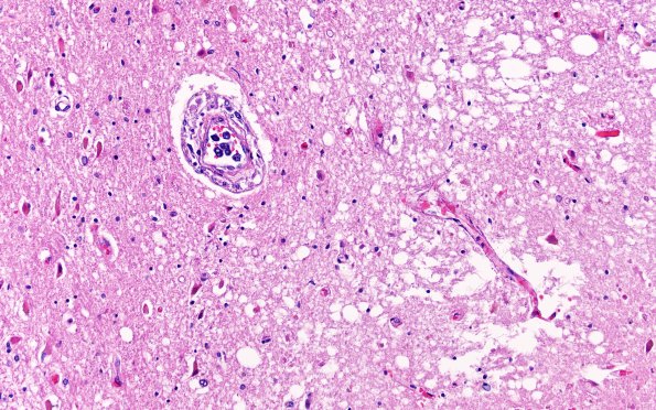
Washington University Experience | NEOPLASMS (HEMATOLYMPHOID) | Lymphoma, Intravascular | 18C4 Lymphoma, intravascular N4 (Case 18) 20X
The microvasculature of various sizes shows extensive involvement by discohesive tumor cells. (H&E)
