Table of Contents
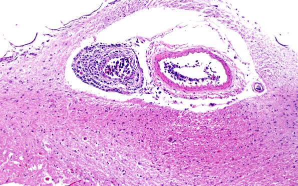
Washington University Experience | NEOPLASMS (HEMATOLYMPHOID) | Lymphoma, Intravascular | 18D1 Lymphoma, intravascular N4 (Case 18) 10X
18D1,2 This interesting arteriole/venule pair (shown by an arrow in image #18C1) demonstrates luminal growth in the artery but is invading through the vessel wall in the vein. (H&E)
