Table of Contents
« prev
next »
Washington University Experience
|
NEOPLASMS (HEMATOLYMPHOID)
|
Lymphoma, Intravascular
|
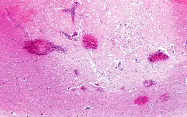
18E1B Lymphoma, intravascular N16 (Case 18) 4X
The lesion in image #18E1A is shown at progressively higher magnifications. (H&E)
Image Info
Camera Maker:
Olympus
Camera Model:
DP74
Shutter Speed:
29/47541 sec
Metering Mode:
Multi-Spot
Gallery RSS
|
Archive View
|
Login
|
Powered by
Zenphoto