Table of Contents
« prev
next »
Washington University Experience
|
NEOPLASMS (HEMATOLYMPHOID)
|
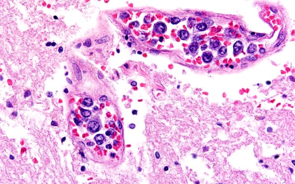
Lymphoma, Intravascular
|
18E1E Lymphoma, intravascular N16 (Case 18) 60X
Malignant tumor cells engorge small vessels within the infarcted region. (H&E)
Image Info
Camera Maker:
Olympus
Camera Model:
DP74
Shutter Speed:
27/2126 sec
Metering Mode:
Multi-Spot
Gallery RSS
|
Archive View
|
Login
|
Powered by
Zenphoto