Table of Contents
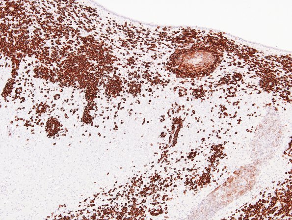
Washington University Experience | NEOPLASMS (HEMATOLYMPHOID) | Lymphoma, PTLD | 1E2 Lymphoma, B-cell (PTLD, Case 1) N3 CD20 1
1E2,3 Higher magnification images showing numerous, strongly immunoreactive B cell lymphoma (CD20 IHC)
