Table of Contents
« prev
next »
Washington University Experience
|
NEOPLASMS (HEMATOLYMPHOID)
|
Lymphoma, immune-compromised
|
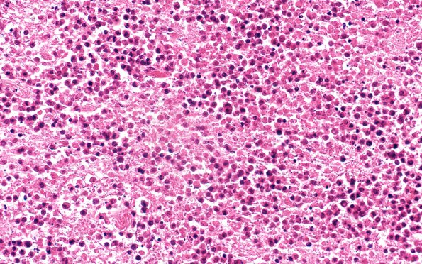
13B2 Lymphoma in AIDS EBV (Case 13) H&E 20X
Large lesion consist of necrotic and viable lymphoma (H&E)
Image Info
Camera Maker:
Olympus
Camera Model:
DP74 #1
Shutter Speed:
29/3598 sec
Metering Mode:
Average
Gallery RSS
|
Archive View
|
Login
|
Powered by
Zenphoto