Table of Contents
Washington University Experience | NEOPLASMS (HEMATOLYMPHOID) | Lymphoma, immune-compromised | 14C1 Lymphoma, 6 mo imm-supp (Case 14) 1 H&E.jpg
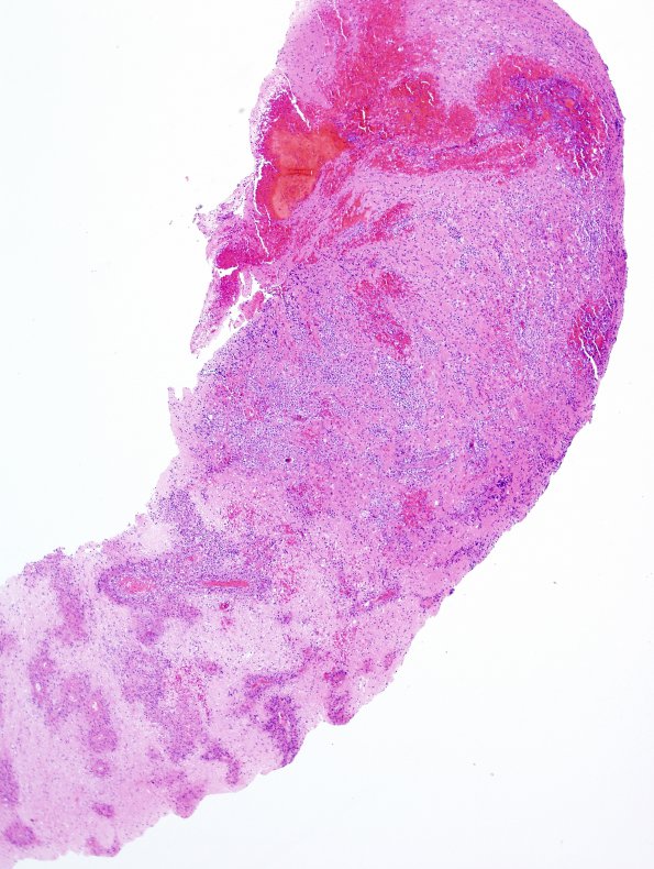
14C1,2 The core labeled with an arrow in image 14B1 is shown at higher magnification stained routinely with H&E (14C1) and at higher magnifications in 14C2 and 14C3. Patterns of growth include perivascular and parenchymal infiltration involved by a diffusely infiltrative, discohesive, poorly-differentiated malignant neoplasm with abundant necrosis. The tumor cells are enlarged with scant to no discernible cytoplasm. The nuclei are enlarged, irregular, with mainly vesicular chromatin, prominent chromocenters, and frequent mitotic figures. Other fragments of tissue show collections of mature appearing perivascular inflammatory cells, including some neutrophils, all in the background of necrosis.
