Table of Contents
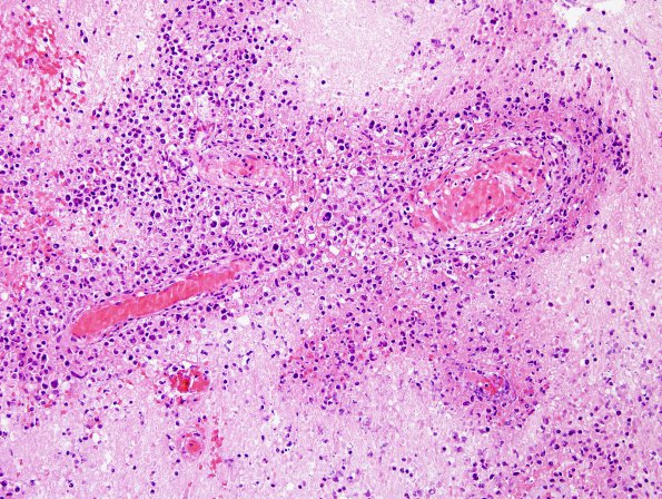
Washington University Experience | NEOPLASMS (HEMATOLYMPHOID) | Lymphoma, immune-compromised | 14C2 Lymphoma, 6 mo imm-supp (Case 14) H&E 6.jpg
The core labeled with an arrow in image 14B1 is shown at higher magnification (H&E)
