Table of Contents
« prev
next »
Washington University Experience
|
NEOPLASMS (HEMATOLYMPHOID)
|
Lymphoma, immune-compromised
|
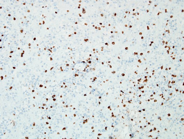
14D4 Lymphoma, 6 mo imm-supp (Case 14) CD3 4.jpg
CD3 highlights mature appearing T-cell lymphocytes in the background.
Image Info
Camera Maker:
Olympus Corporation
Camera Model:
DP70
Original Time Taken:
29-01-2014
Shutter Speed:
1/1050 sec
ISO Sensitivity:
200
Metering Mode:
Spot
Gallery RSS
|
Archive View
|
Login
|
Powered by
Zenphoto