Table of Contents
Washington University Experience | NEOPLASMS (HEMATOLYMPHOID) | Lymphoma, immune-compromised | 14F Lymphoma, 6 mo imm-supp (Case 14) Retic.jpg
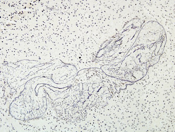
A typical reticulin pattern is shown which is thought to reflect infiltration of the blood vessel wall by tumor cells.
