Table of Contents



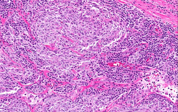
Washington University Experience | NEOPLASMS (HEMATOLYMPHOID) | Lymphoma, primary | 28A3 Lymphoma, B-cell, spindle-sclerosing variant (AANP 2016-Case 4) 20X

28A3 Lymphoma, B-cell, spindle-sclerosing variant (AANP 2016-Case 4) 20X
Higher magnification of the specimen (H&E)


Gallery RSS RSS Feed | Archive View | Login | Powered by Zenphoto