Table of Contents
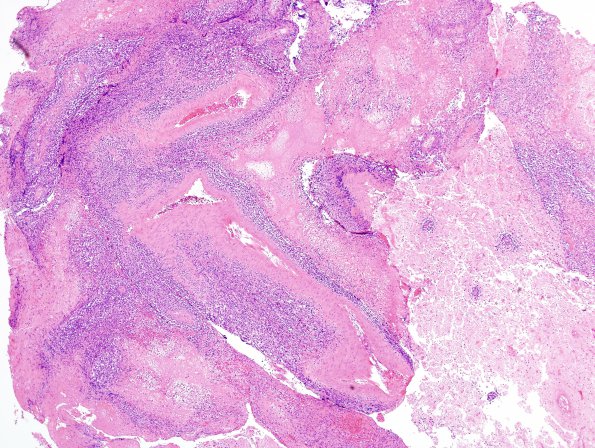
Washington University Experience | NEOPLASMS (HEMATOLYMPHOID) | Lymphoma, primary | 8A2 Lymphoma p 10days steroids (Case 8) H&E 3A
8A2-4 The neoplasm is composed of markedly atypical cells and a high nuclear to cytoplasmic ratio in a perivascular distribution. There is extensive tumor necrosis. (H&E)
