Table of Contents
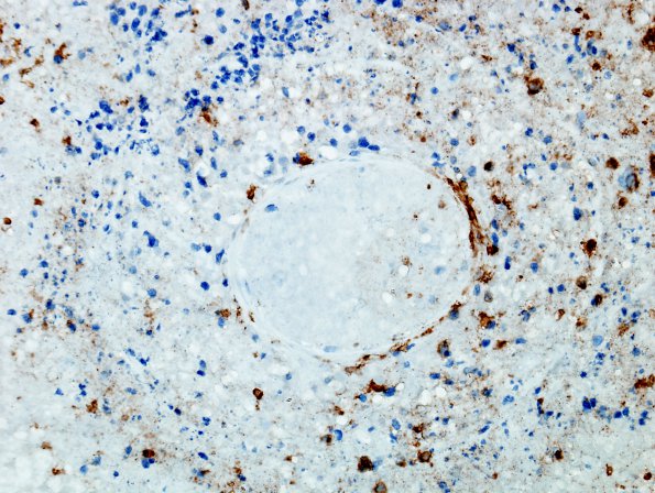
Washington University Experience | NEOPLASMS (HEMATOLYMPHOID) | Lymphoma, primary | 8C Lymphoma p 10days steroids (Case 8) CD3 2A
There are fewer scattered CD3 positive cells within the viable tissue as well as necrosis involving the reactive T cell populations. Glial fibrillary acid protein (GFAP) highlights the surrounding brain parenchyma.
