Table of Contents
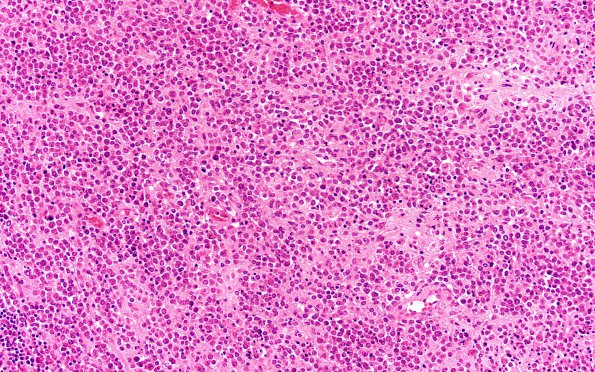
Washington University Experience | NEOPLASMS (HEMATOLYMPHOID) | Lymphoma, primary | 9A2 Lymphoma, DLBC, GCT (Case 9) H&E 20X
The majority of the tumor cells have hyperchromatic nuclei, speckled chromatin, occasional conspicuous nucleoli, mitotic figures and karyorrhectic debris (H&E)
