Table of Contents
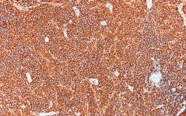
Washington University Experience | NEOPLASMS (HEMATOLYMPHOID) | Lymphoma, primary | 9B1 Lymphoma, DLBCL, GCT (Case 9 CD20 1
9B1,2 Immunohistochemistry reveals the tumor cells to be strongly and diffusely positive for CD20 and CD45.
