Table of Contents
« prev
next »
Washington University Experience
|
NEOPLASMS (HEMATOLYMPHOID)
|
Lymphoma, primary
|
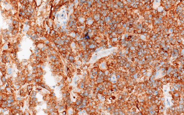
9C2 Lymphoma, DLBCL, GCT (Case 9) CD10 2
The majority of the tumor cells show strong staining for CD10.
Image Info
Camera Maker:
Olympus
Camera Model:
DP74
Shutter Speed:
43/20000 sec
Metering Mode:
Average
Gallery RSS
|
Archive View
|
Login
|
Powered by
Zenphoto