Table of Contents
« prev
next »
Washington University Experience
|
NEOPLASMS (HEMATOLYMPHOID)
|
Lymphoma, primary
|
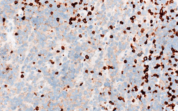
9D Lymphoma, DLBCL, GCT (Case 9) CD3 40X
CD3 highlights scattered T cells.
Image Info
Camera Maker:
Olympus
Camera Model:
DP74
Shutter Speed:
7/4023 sec
Metering Mode:
Average
Gallery RSS
|
Archive View
|
Login
|
Powered by
Zenphoto