Table of Contents
« prev
next »
Washington University Experience
|
NEOPLASMS (HEMATOLYMPHOID)
|
Lymphoma, primary
|
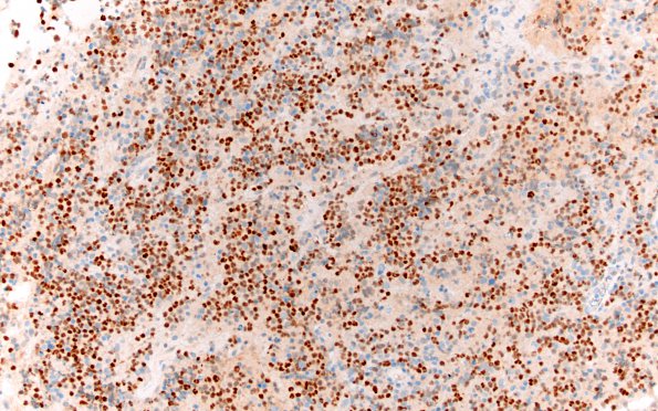
9E1 Lymphoma, DLBC, GCT (Case 9) BCl-6 20X
9E1,2 BCl-6 and CD99 tumor cells show strong staining.
Image Info
Camera Maker:
Olympus
Camera Model:
DP74
Shutter Speed:
1/1000 sec
Metering Mode:
Multi-Spot
Gallery RSS
|
Archive View
|
Login
|
Powered by
Zenphoto