Table of Contents



Washington University Experience | NEOPLASMS (HEMATOLYMPHOID) | Lymphoma, secondary | 14A1 Lymphoma, Pons (Case 14) T2 FLAIR

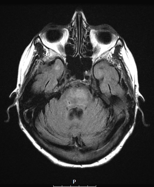
14A1 Lymphoma, Pons (Case 14) T2 FLAIR
This T2 FLAIR image shows a hyperintense mass within the basis pontis.


Gallery RSS RSS Feed | Archive View | Login | Powered by Zenphoto