Table of Contents



Washington University Experience | NEOPLASMS (HEMATOLYMPHOID) | Lymphoma, secondary | 14A2 Lymphoma, Pons (Case 14) T2 NoC

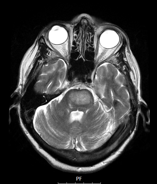
14A2 Lymphoma, Pons (Case 14) T2 NoC
A T2-weighted image identifies the pontine mass as the only hyperintense lesion in this brain.


Gallery RSS RSS Feed | Archive View | Login | Powered by Zenphoto