Table of Contents
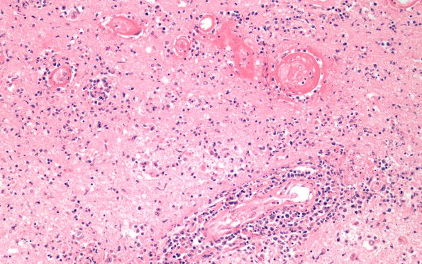
Washington University Experience | NEOPLASMS (HEMATOLYMPHOID) | Lymphomatoid Granulomatosis | 1B5 Lymphomatoid Granulomatosis (Case 1) H&E 20X
The infiltrate tends to associate with damaged vessels ranging from hyaline thickening to fibrinoid vascular necrosis. (H&E)
